Advertisement

Causes Of Mesothelioma In Dogs : Common Dog Bite Infections And The Symptoms They Cause : mesothelioma copypasta asbestosdefinition.com if you live long enough in the us, you will find that mesothelioma has become one of the most popular and discussed diseases so far.

Causes Of Mesothelioma In Dogs : Common Dog Bite Infections And The Symptoms They Cause : mesothelioma copypasta asbestosdefinition.com if you live long enough in the us, you will find that mesothelioma has become one of the most popular and discussed diseases so far.. It is often acute and frequently results in a progressive, systemic disease. In contrast, a chemical like asbestos is associated with a very high risk of mesothelioma, but very few dogs are exposed, and the attributable risk is thought to be low in people (about 5 percent of all lung cancers). In contrast, the attributable risk for lung cancer (90 percent) associated. Three out of every four cases of mesothelioma disease begin in the. Cancers like mesothelioma can cause a range of adverse reactions in the patient.

According to the research, the survival odds of mesothelioma decreased by at least 9% for each 1 g/l albumin level reduction. All three dogs revealed nests of mesothelial cells. This leads to mesothelioma tumor growth on the affected site. The incidence has been increasing since the 1960s and is projected to reach a peak of more than 3000 cases per year in the uk in 2020. Epileptic seizures are common in patients with primary and secondary malignant brain tumors.

Thoracic Tumors Heart Dr Julius Liptak
Thoracic Tumors Heart Dr Julius Liptak from images.squarespace-cdn.com
Asbestos can also be a cause of a specific form of lung cancer, called mesothelioma, just as it is in humans. Infections that affect the brain might cause this electrical activity to be disturbed. High cpc ad network list 2019 for mesothelioma symptoms mesothelioma symptoms and treatment mesothelioma symptoms mayo mesothelioma symptoms in dogs mesothelioma symptoms near death mesothelioma symptoms and causes mesothelioma symptoms uk mesothelioma symptoms back pain mesothelioma symptoms in child mesothelioma symptoms early mesothelioma symptoms and signs mesothelioma abdomen symptoms. mesothelioma is a rare and deadly form of cancer that affects the lining of the lungs or abdomen. Asbestos is a group of minerals that occur naturally as bundles of tiny fibers. This leads to mesothelioma tumor growth on the affected site. Cancer is a common canine concern, affecting an estimated 25% of all dogs and 30% over the age of 7 years, according to the akc canine health foundation (chf).unfortunately, for many dogs, the. The patient's disease, stage of illness, overall health, and age, are all variables that affect this.

The most common cause of mesothelioma is exposure to asbestos.

Pulmonary diseases associated with airway obstruction and dyspnea, such as bovine respiratory syncytial virus infection, acute respiratory disease syndromes, such as acute pulmonary edema and emphysema, and moldy sweet potato toxicity are commonly associated with interstitial emphysema. Malignant mesothelioma is an uncommon and very aggressive tumor that accounts for 1% of all the deaths secondary to malignancy in humans. With the recognition and establishment of the root cause of mesothelioma, law services have equipped themselves to counter effect its fallout. The incidence has been increasing since the 1960s and is projected to reach a peak of more than 3000 cases per year in the uk in 2020. mesothelioma is a rare type of cancer that is typically caused by exposure to asbestos. Symptoms and treatment options of mesothelioma; Understanding the cause of mesothelioma, begins with understanding what cancer is, and how cancer develops. 3.) mesothelioma is an noncancerous (benign) or cancerous (malignant) tumor which develops in lining of heart or lining of lungs or lining of abdomen. Of course, this popularity has everything to do with the entire memes and its mesothelioma copypasta script. mesothelioma copypasta asbestosdefinition.com if you live long enough in the us, you will find that mesothelioma has become one of the most popular and discussed diseases so far. mesothelioma affects men more often than women. Risk factors male and female dogs get lung cancer at approximately the same rate. What factors increase risk for developing mesothelioma?

While there are a number of factors that increase a person's risk of developing mesothelioma, the precise cause of mesothelioma is not always understood, as reported by cancer.org. Epileptic seizures are common in patients with primary and secondary malignant brain tumors. This lining is called the epithelial lining specifically mesothelium. Unlike many health conditions, mesothelioma is not unique to just humans. These fibers are found in soil and rocks in many parts of the world.

Mesothelioma Miho
Mesothelioma Miho from mihohome.files.wordpress.com
mesothelioma is more common among whites and hispanics than among blacks or asians. Analyzing big data to improve healthcare The role of surgery in pleural mesothelioma is. in a sick dog, the nodes are enlarged such as when an infection is present or cancer. Cancer is a common canine concern, affecting an estimated 25% of all dogs and 30% over the age of 7 years, according to the akc canine health foundation (chf).unfortunately, for many dogs, the. What factors increase risk for developing mesothelioma? Should you use them in dog training? Hence mesothelioma may increase to account for >1% of deaths.

Asbestos is a group of minerals that occur naturally as bundles of tiny fibers.

Unlike many health conditions, mesothelioma is not unique to just humans. With the recognition and establishment of the root cause of mesothelioma, law services have equipped themselves to counter effect its fallout. It is caused by ingesting asbestos fibers. It is the major sign of a tumor in up to 50 percent 8 of these patients. mesothelioma is a rare lethal tumor of dogs and humans involving cavities of the body. Asbestos awareness center have taken it upon themselves as volunteers and Cancer is a common canine concern, affecting an estimated 25% of all dogs and 30% over the age of 7 years, according to the akc canine health foundation (chf).unfortunately, for many dogs, the. Malignant mesothelioma is an uncommon and very aggressive tumor that accounts for 1% of all the deaths secondary to malignancy in humans. The court awarded our client $235,000 for his injuries. Of course, this popularity has everything to do with the entire memes and its mesothelioma copypasta script. Public opinion on medical marijuana; Malignant mesothelioma is a rare form of cancer typically caused by exposure to asbestos. And, how it coincides with the rare cancer known as mesothelioma.

About 75% of people with mesothelioma are age 65 and older. mesothelioma is a rare lethal tumor of dogs and humans involving cavities of the body. These reactions are called symptoms. mesothelioma is an incurable cancer in all its forms, and the prognosis is generally poor. Analyzing big data to improve healthcare

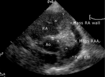
Veterinary Sciences Free Full Text Pathological Findings Of Canine Idiopathic Pericarditis And Pericardial Mesotheliomas Correlation With Clinical And Survival Data Html
Veterinary Sciences Free Full Text Pathological Findings Of Canine Idiopathic Pericarditis And Pericardial Mesotheliomas Correlation With Clinical And Survival Data Html from www.mdpi.com
3.) mesothelioma is an noncancerous (benign) or cancerous (malignant) tumor which develops in lining of heart or lining of lungs or lining of abdomen. mesotheliomas are rare tumors derived from cell tissue that lines the cavities and internal structures of the body. However, mesothelioma prognosis varies from one individual to another, and response to treatment is a primary determining factor for life expectancy. If you don't how you're going to pay for treatment, contact buck law firm. mesothelioma is more common among whites and hispanics than among blacks or asians. Interestingly, this neoplasm has been occasionally described in companion animals as well. Peritoneal mesothelioma affects the protective lining of the abdominal cavity, the area of your body containing several organs including the stomach, intestines, kidneys, and liver. Severe interstitial emphysema can cause large gas bullae in all parts of the lung and subcutaneous emphysema.

Severe interstitial emphysema can cause large gas bullae in all parts of the lung and subcutaneous emphysema.

Cancers like mesothelioma can cause a range of adverse reactions in the patient. Unlike many health conditions, mesothelioma is not unique to just humans. Asbestos awareness center is committed to providing the latest information on asbestos contamination. Do environmental pollutants cause cancer in dogs? Malignant mesothelioma is a rare form of cancer typically caused by exposure to asbestos. At this time, the causes of mesothelioma are not well understood. mesotheliomas are rare tumors derived from cell tissue that lines the cavities and internal structures of the body. 6 most individuals in the uk were exposed in the 1940s; However, mesothelioma prognosis varies from one individual to another, and response to treatment is a primary determining factor for life expectancy. 3.) mesothelioma is an noncancerous (benign) or cancerous (malignant) tumor which develops in lining of heart or lining of lungs or lining of abdomen. A dog affected by pleural, pericardial, and. This cancerous disease may not be detected at its early stages and may serve as a hurdle during court proceedings. Secondary septic peritonitis is commonly associated with perforation of and leakage from gi organs (eg, traumatic reticuloperitonitis in cattle), with subsequent.

Post a Comment

0 Comments